
Smile Gallery
Before and After
Please enjoy some of our amazing smile transformations. Each case highlights the skill and care Dr. Thomas brings to every patient. Results vary by individual, and a consultation is the best way to learn what options are right for you.

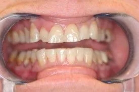
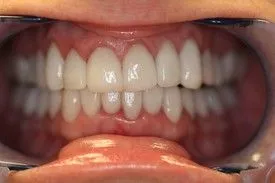
Patient presented with worn and discolored teeth.

Patient was restored with porcelain veneers and porcelain crowns.

Patient presented with gaps and discolored teeth.

Patient was restored with anterior veneers.

Patient presented with badly worn teeth and discolored white fillings.

Patient was restored with root canal and porcelain crowns.

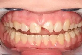
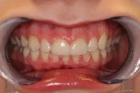
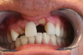
Patient presented with fractured front teeth and missing front teeth.

Patient was restored with root canal and porcelain crowns.

Patient presented with old bonding and misshaped teeth.

Patient was restored with front veneers.

Patient presented with old discolored white fillings.

Patient was restored with anterior bonding and two veneers.

Patient presented with tetracycline teeth and wanted a whiter smile.

Patient was restored with porcelain veneers and porcelain crowns.







Patient presented with small sized teeth and uneven teeth.

Patient was restored with veneers and a porcelain crown.



Patient presented with extremely worn and discolored teeth. He was embarrassed by the way his teeth looked.

Patient was restored with complete upper porcelain crowns.

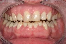
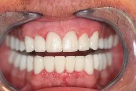
Patient presented with badly worn and discolored teeth.

Patient was restored with complete upper porcelain implants and porcelain crowns.

Patient presented with extremely worn and discolored teeth.

Patient was restored with porcelain veneers.

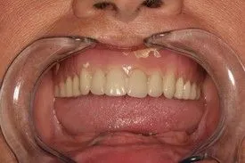
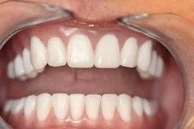
Patient presented with worn and old white filling material.

Patient was restored with complete upper porcelain crowns. Also, she requested Zoom whitening and a bite guard was delivered to protect the porcelain crowns.

Dentistry was done in Mexico and patient was unhappy with how they looked and felt.

Patient was restored with appropriate sized porcelain crowns. Also, she requested Zoom whitening and a bite guard to protect the porcelain crowns.



Patient presented with missing front teeth with bonding closing the spaces of the missing teeth.

Patient was restored with porcelain bridge and porcelain crowns. Also, she requested zoom whitening and bite guard to protect the porcelain crowns.
